3 yaşlı uşağın boğazından 19 maqnit çıxarıldı - FOTO

  • 2025.10.11 21:47
  • 1323 Baxış
3 yaşlı uşağın boğazından 19 maqnit çıxarıldı -  FOTO

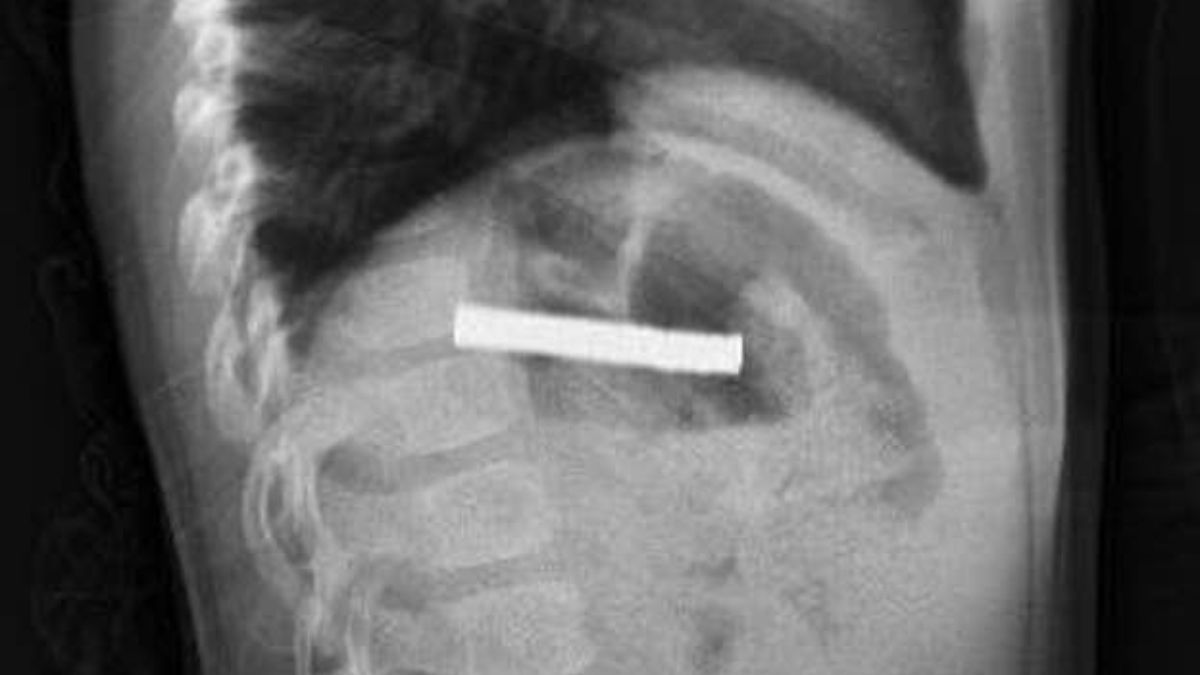
Türkiyədə 3 yaşlı uşağın boğazından 19 ədəd maqnit çıxarılıb.

Medicina.az xəbər verir ki, Ərzurumda uşaq evdə tapılan 19 maqniti udub.

Vəziyyəti pisləşəndən sonra ailə xəstəxana ilə əlaqə saxlayıb.



Uşaq daha sonra Elazığa köçürülüb.

Fırat Universitetinin Uşaq Qastroenterologiyası, Hepatologiya və Qidalanma kafedrasının müdiri Prof.Dr.Yaşar Doğan endoskopik üsulla uşağın qida borusuna ilişib qalmış 19 maqniti çıxarıb.

Maqnitlər uzun müddət qida borusunda ilişib qalıb, yemək borusu və mədə girişində zədələr yaranıb.

Uşağın səhhətinin yaxşı olduğu və evə buraxıldığı öyrənilib.



Aygün
Medicina.az