4 yaşlı uşaq kimyəvi təmizləyici vasitə içdi - Qida borusu yandı-FOTO

  • 2025.11.05 12:36
  • 1810 Baxış
4 yaşlı uşaq kimyəvi təmizləyici vasitə içdi -  Qida borusu yandı-FOTO

Bakıda 4 yaşlı uşaq kimyəvi təmizləyici vasitə içib.

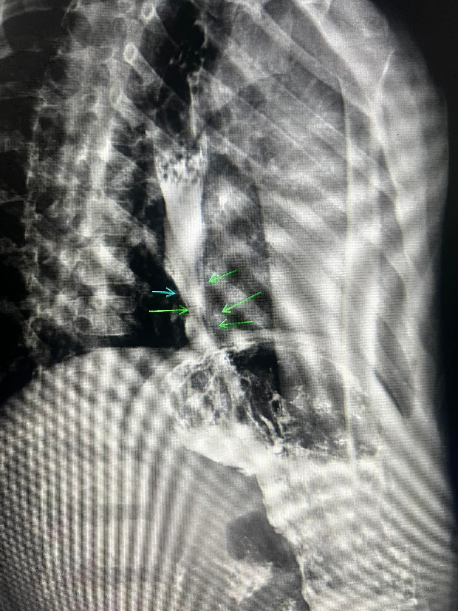
Medicina.az xəbər verir ki, bu barədə radioloq Aydın Əliyev bildirib.



Onun sözlərinə görə, hadisə 2 il əvvəl baş verib:

"Qida borusu yanıb, çapıqlaşıb, daralıb, sonradan dəfələrlə bujlama proseduru nəticəsində darlıq aradan qalxıb. Lakin çapıq deformasiyası və bu səbəbdən qida borusu qısaldığına görə həm də yırtıq yaranıb. Kimyəvi aşılayıcı maddələri uşaqların əli çatmayan yerlərə qoyun".



Aygün
Medicina.az