Bir ay öskürdü- Ağciyərindən sırğası çıxdı

  • 2026.04.22 19:36
  • 512 Baxış
Bir ay  öskürdü -   Ağciyərindən sırğası çıxdı


Meksikalı qadın iki mürəkkəb əməliyyat keçirməli olub, baxmayaraq ki, hər şey (sadə bir öskürəklə başlayıb.


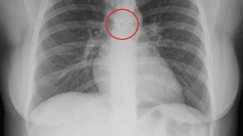
Medicina.az xəbər verir ki, bir ay öskürdükdən sonra Monika Dejanira Cabrera həkimə gedib və səbəbini öyrənəndə dəhşətə gəlib. Məlum olub ki, ağciyərində burun halqası ilişib qalıb.

Görünür, pirsinq yuxuda burnuna düşüb və 26 yaşlı qadın hiss etməyib. Əlbəttə ki, Monika sırğanın itdiyini görüb, amma bədəninə düşdüyü ağlına belə gəlməyib.

Metal əşyanın aortasından cəmi 0,5 millimetr məsafədə yerləşdiyi üçün onun asanlıqla ölə biləcəyini deyiblər. Monika çox güman ki, çökmüş ağciyər və ya aorta perforasiyasından öləcəkdi.

O, deyib ki, burnunu pirsinq etməyi çox sevir, amma yaşadığı dəhşət buna dəymədi, ona görə də daha pirsinqdən uzaqdır.


Aygün Musayeva