Protez təklif edildi, amma əməliyyatsız sağaldı – Real pasiyent hekayəsi-VİDEO

  • 2026.04.15 13:25
  • 619 Baxış
Protez təklif edildi, amma əməliyyatsız sağaldı –  Real pasiyent hekayəsi-VİDEO

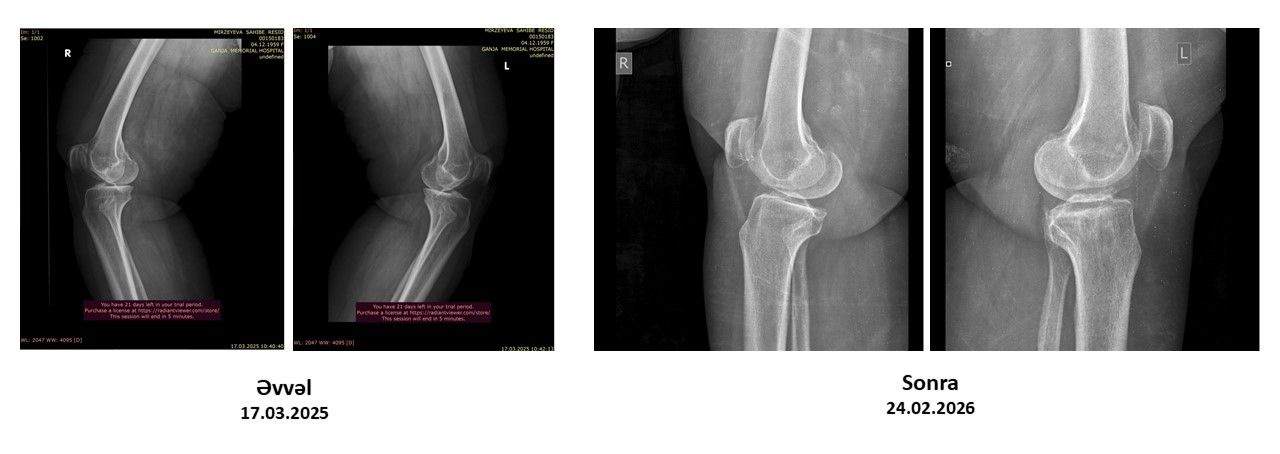
Oynaqlarda yaranan artroz, xüsusilə də xəstəliyin 4-cü mərhələsi, tibbdə ən ağır vəziyyətlərdən biri hesab olunur. Bu mərhələdə xəstələrə əksər hallarda yeganə çıxış yolu kimi cərrahi əməliyyat – süni oynaq (protez) təklif edilir.

Lakin son illər bəzi klinikalarda tətbiq olunan inteqrativ yanaşmalar bu sahədə fərqli nəticələrin mümkün olduğunu göstərir.



Ağrılarla yaşayan xəstə əməliyyatdan imtina etdi

Bioloji Təbabət İnteqrativ Müalicə Mərkəzinə müraciət edən pasiyentə 4-cü dərəcəli artroz diaqnozu qoyulmuşdu.

Pasiyent daha əvvəl müraciət etdiyi tibb müəssisələrində yalnız əməliyyatın mümkün çıxış yolu olduğu barədə məlumat almışdı. Güclü ağrılar, hərəkət məhdudiyyəti və gündəlik həyat keyfiyyətinin aşağı düşməsi onun əsas şikayətləri idi.
Alternativ axtarışlar nəticəsində pasiyent inteqrativ müalicə proqramına qoşulmağa qərar verib.

Müalicə necə aparılıb?

Müalicə həkim Nuriyyə Əlibəyli tərəfindən fərdi plan əsasında həyata keçirilib.

Mütəxəssislərin sözlərinə görə, inteqrativ tibbdə əsas məqsəd yalnız oynağın özünü deyil, bütövlükdə orqanizmi müalicə etməkdir. Bu yanaşmada:
• xəstəliyin səbəbləri araşdırılır
• iltihabi proseslər nəzərə alınır
• metabolik və hormonal balans qiymətləndirilir
• orqanizmin özünü bərpa mexanizmləri aktivləşdirilir

Kompleks müalicə proqramı tətbiq olunub

Pasiyentə tətbiq olunan proqram bir neçə istiqaməti əhatə edib:
• iltihab əleyhinə və bərpaedici terapiyalar
• fizioterapiya və reabilitasiya prosedurları
• oynaq hərəkətliliyini artıran xüsusi məşqlər
• ümumi vəziyyəti dəstəkləyən preparatlar

Nəticə: əməliyyata ehtiyac qalmadı

Aparılan müalicədən sonra pasiyentdə nəzərəçarpacaq müsbət dəyişikliklər müşahidə olunub:
• ağrılar əhəmiyyətli dərəcədə azalıb
• oynağın hərəkət qabiliyyəti yaxşılaşıb
• gündəlik fəaliyyətlər daha rahat icra olunmağa başlayıb
• həyat keyfiyyəti yüksəlib

Hazırkı vəziyyətdə pasiyent üçün cərrahi müdaxiləyə ehtiyac qalmadığı bildirilir.

Hər xəstədə nəticə fərqli ola bilər

Mütəxəssislər qeyd edir ki, 4-cü dərəcəli artrozun bütün hallarında əməliyyatsız müalicə mümkün olmaya bilər.

Lakin düzgün seçilmiş yanaşma, erkən müdaxilə və fərdi müalicə planı bəzi pasiyentlərdə əməliyyata alternativ nəticələr verə bilər.

Həkimlər bildirir ki:
“Artrozun ağır mərhələsi hər zaman əməliyyat demək deyil. Bəzi hallarda inteqrativ müalicə ilə ağrını azaltmaq, funksiyanı bərpa etmək və xəstənin həyat keyfiyyətini yaxşılaşdırmaq mümkündür.”

Mütəxəssislər hər bir pasiyentin vəziyyətinin fərdi qiymətləndirilməsinin vacib olduğunu vurğulayır. Müalicə seçimi yalnız həkim müayinəsindən sonra müəyyən edilməlidir.

Ətraflı məlumat üçün: (012 / 050 / 055 / 070) 430 89 89