Azərbaycanlı həkimdən uğurlu əməliyyat: 40 günlük körpənin əzabına son qoyuldu

  • 2020.02.18 14:16
  • 5165 Baxış
Azərbaycanlı həkimdən uğurlu əməliyyat:   40 günlük körpənin əzabına son qoyuldu

Op.Dr Fuad Hüseynov daha bir uğurlu əməliyyata imza atıb.

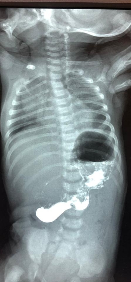
Medicina.az xəbər verir ki, əməliyyat 40 günlük körpə üzərində həyata keçirilib.Körpə 3 gündür dayanmadan qusduğu üçün xəstəxanaya gətirilib.

Müayinə nəticəsində məlum olub ki, qusmanın səbəbi mədə çıxışında olan daralma,əzələ qalınlaşmasıdır. Buna görə də 40 günlük uşağa cərrahi müdaxilə qərarı verilib.

Lakin əməliyyat riskli olduğu üçün, 1 gün ərzində onun ümumi vəziyyətini yaxşılaşdırmaq üçün müalicələr aparılıb. Daha sonra baş tutan əməliyyat uğurlu keçib. Körpənin mədə çıxışında qidanın keçməsinə mane olan qalınlaşmış əzələ qatı kəsilib.

Hazırda körpə evə buraxılıb, qusması aradan qalxıb. Vəziyyətdi müsbətə doğru dəyişilir.