Kişi beyninin yarısı olmadan yaşayıb – Həkimləri şoka salan xəstə

  • 2019.07.15 15:40
  • 7680 Baxış
Kişi beyninin yarısı olmadan yaşayıb –  Həkimləri şoka salan xəstə

47 yaşlı kişi baş beyin qan dövranı pozğunluğu əlamətləri ilə Moskva əyaləti xəstəxanasına gətirilir. 



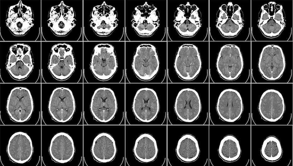
Nevroloq A. Burnyazina bildirib ki, MRT çəkimindən sonra pasiyentin sol beyin yarımkürəsinin olmaması aşkarlandı. 



Medicina.az xəbər verir ki, həkimlər kişinin ömrü boyu yalnız beyninin fəaiyyətdə olan yarisi ilə yaşayıb. 



Vəziyyəti yaxşılaşandan sonra pasiyent dəqin müayinə və müalicələrdən imtina edərək evinə gedib. O, hesab edir ki, ona müdaxilə etmək olmaz. "Mən bu yarım beynimlə aliməktəbə daxil olmuşam, əsgərlikdə olmuşam, 2 uşaq atasıyam, mühəndisəm, bundan sonra mənə problem lazım deyil. Məni sağlamlığımda heç nə narahat etmir”.



Nevroloqun sözlərinə görə belə faktlar tibdə çox nadir halda rast gəlinir və yarımkürənin birinin inkişafdan qalması hələ embrion dövründə başlayıb.