Qadının 6 aya çiyin sümüyü əriyib itdi – Həkimlər şokda

  • 2018.04.06 15:57
  • 17917 Baxış
Qadının 6 aya çiyin sümüyü əriyib itdi –  Həkimlər şokda

Britaniyalı qadında tibbə məlum olmayan sağalmaz xəstəlik aşkar olunub. 



Medicina.az xəbər verir ki, Edinburq universitenin cərrah – ortoped qrupu bu unikal kliniki hadisə barədə açıqlama verib.

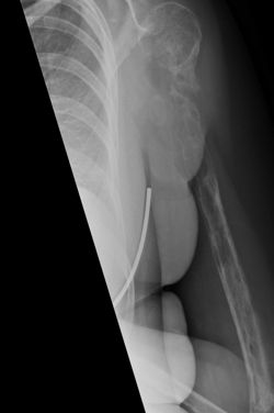
44 yaşlı qadın sol çiynində ağrı ilə klinikaya müraciət edir. Onun çiyin oynağında şişkinlik də var idi. MRT müayinəsi zamanı şiyin sümüyündə patoloji dəyişiklik müşahidə olundu, həkimlər xərçəngdən şübhələnsələr də bu təsdiq olunmur. Sonrakı aylar ərzində sol qolda ağrılar daha da artmağa başlayır, həkimlər isə diaqnoz tapa bilmirlər. 



Növbəti MRT çəkimi həkimləri şoka salır: qadının çiyin sümüyü faktiki olaraq əriyib, proses dirsək sümüyünə də keçib. Sümük toxuması əvəzinə dayaq rolunu anomal dərəcədə böyümüş qan damarları əvəz edib. Bundan sonra mütəxəsislər qrup yaradaraq, ümumi razılığa əsasən " Qorem-Staut” sindromu diaqnozunu qoydular. Bu dünyada nadir rast gəlinən patologiyadır. Tibbi ədəbiyyatda bu günə kimi cəmi 64 belə fakt qeydə alınıb. Xəstəliyin səbəbi məlum deyil, həmçinin effektiv müalicəsi də yoxdur.

 

 




Pasiyentin sonrakı vəziyyətinin necə olacağı məlum deyil, həkimlər hələ ki, gözləmə mövqeyi seçib. 



Qadının 6 aya çiyin sümüyü əriyib itdi –  Həkimlər şokda
Qadının 6 aya çiyin sümüyü əriyib itdi –  Həkimlər şokda